"Лугансквода" предупредила о возможных перебоях в подаче воды в городах и районах Республики 25 июня из-за ремонтных работ. Адреса // ЛуганскИнформЦентр Z
Новости за 25.06.2024
Музыканты луганщины приняли участие в турниреМузыкальные коллективы из Луганской Народной Республики приняли участие в дружеском турнире «От русских корней до наших дней» на выставке «Россия»В творческом поединке сошлись три ярких коллектива...
Повышение квалификации специалистов Управления Россельхознадзора по Луганской Народной РеспубликиС 18 по 20 июня на базе учебного центра ФГБУ «ВНИИЗЖ» прошёл курс обучения на тему: «Отбор образцов подкарантинной продукции для проведения лабораторных...
В Луганской таможне напомнили правила временного ввоза автомобилей Кому и в каких случаях можно передать свой временно ввезенный автомобиль и что с ним делать категорически нельзя разъяснили в Луганской таможне, сообщает пресс-служба ведомства.В ЛНР...
И снова здравствуйте! Локация - Луцкая область. Продолжение сериала "моГилизация на Украине" На этот раз могилизаторы дали дёру от вооруженного ухылянта, который открыл стрельбу по полицейской машине.А если серьёзно, то обстановка очень...
«ЛУГАНСКГАЗ» разъяснил особенности смены поставщика газа в Республике Отвечаем на самые часто задаваемы вопросы абонентов, связанные со сменой поставщика:Что будет с задолженностями и переплатами за природный газ, закрепленными...
23 июня в роще «Красная Весна» города Новочеркасска прошел второй этап Открытого Первенства города Новочеркасска по велосипедному спорту кросс-кантриКоманду Луганской Народной Республики представили воспитанники Луганского высшего училища физической...
25 июня 2024 г В период с 22 по 24 июня на востоке и севере европейской территории России (ЕТР) прослеживалось влияние атмосферных фронтов циклонической системы с центрами на севере и над югом приволжских районов. 23-24 июня...
В Госдуме открылась уникальная выставка «Спорт объединяет: единство в многообразии»Экспозиция пройдет в рамках поддержки развития физической культуры и спорта на новых территориях, а также укрепления российско-китайских отношений.Основная цель...
Песня о Луганске группы «Душа 181» выпущена на 60 международных и российских музыкальных площадках 22 июня трек «Луганск» опубликован на всех мировых музыкальных площадках, в том числе: Яндекс.Музыка, ВК.Музыка, СберЗвук, Одноклассники и...
В отделение МФЦ г. Краснодона требуютсяСпециалисты (по приему заявлений от граждан)Квалификационные требования:среднее профессиональное либо высшее профессиональное образование без предъявления к стажу работы;навыки...
Двое подростков на мотоцикле погибли в ДТП с зерновозом у села Теплое в Станично-Луганском районе. Об этом сообщила прокуратура ЛНР.ПОДПИСАТЬСЯ#насамомделе #насамомделевлуганске #луганск #lugansk #ЛНР #луганськНаш чат | Наш бот |Наш Дзен
25 июня в Луганске по причине аварийного отключения электроэнергии на насосной станции прекращена подача воды в районы:квартала: Щербакова, Луганский.улицы: Советская, с 1-24ю Линии, Володарского, Сент-Этьеновская, Яковенко, Луначарского...
25 июня планируются ремонтные работы водопроводных сетей в некоторых районах ЛНР:г. Луганск: пер.Артековский/Кутузова, ул.Мариупольская, ул.Кодинца, ул.Путейская, ул.Тома Муни/Чкалова, ул.Полюсная, ул.К.Маркса, ул.Октябрьская, ул.Рислянда...
Два ключевых советника Дональда Трампа представили ему план по завершению конфликта на Украине, предусматривающий, что Киев получит больше американского оружия только если вступит в переговоры, узнал Reuters.Его подготовили...
Бойцы группировки "Центр" спасли женщину-военнослужащую от своих побратимов-убийц Поучительная для всех всушников история произошла на просторах СВОБойцы группировки "Центр" взяли в плен женщину из состава сил территориальной обороны...
Экс-аналитик ЦРУ: Украина упустила мир на выгодных условиях, в следующий раз ей предложат капитулироватьВ марте 2022 года Москва предлагала Киеву максимально выгодное урегулирование конфликта, однако этот план был отвергнут, напоминает бывший аналитик...
ДНР, ЛНР, Запорожская область, Херсонская область Банк ВТБ откроет в этом году отделения в Донбассе и НовороссииОб этом стало известно на встрече Президента РФ Владимира Путина с председателем правления банка Андреем Костиным. До конца 2026 г. офисы...
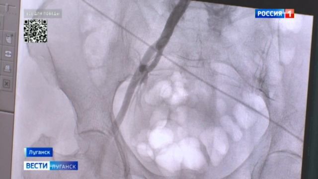
В Луганской Народной Республике хирурги установили протез сердечного клапана через бедренную артерию
В Луганской Народной Республике хирурги установили протез сердечного клапана через бедренную артериюДля проведения операции делали маленький прокол на ноге, не шире 5 миллиметровТакое вмешательство называют эндо-васкулярным методом леченияКакую пользу...


















